如影随形

影子是一个会撒谎的精灵,它在虚空中流浪和等待被发现之间;在存在与不存在之间....

您现在的位置是:主页 > 模板分享 > 作品 >

看看您的冰箱是否可用!这个14岁的男孩差点摔断

发布时间:2025-08-22 11:13编辑:365bet登录浏览(52)

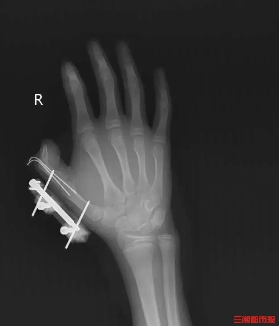
    这个14岁男孩的手指被深深地吹来,看到他的骨头 很快,一个来自亨南(Hunan)的14岁男孩(假名)发现了干冰来冷却父亲的在线购物盒,因此他将其删除并以玩具为玩,将其夹在手中,并反复摇动它。 突然,密封袋中的干冰爆炸了,血液流入魏维的右手。大约10厘米的伤口被撕开以张开他的拇指嘴,深渊可见,肌肉组织受损和暴露,伴随着拇指的骨折和关节的脱位,整个拇指完全不见了。 当他看到这一点时,他的家人迅速将他带到当地医院进行绷带,然后敦促湖南省人民医院和显微外科手术。在治疗后,维维(Vivi)的拇指被保留下来,但仍然需要长期的康复训练来减慢手的精细运动功能。 weiwei 干冰不是“冰” 漏洞的力量sion与烟花 干冰,也称为二氧化碳,通常是一种无毒性和无味的白色固体,具有多种形状。在室温和压力下,干冰可以直接升华为二氧化碳气体。当升华时,体积会延伸800至1000次。加入热水后,它可以迅速加速并产生大量的烟气。 湖南省人民医院手和显微外科部主任陈江介绍,如果将干冰放在密封的袋子里摇晃并摇动,而气体将继续增加,那么该袋将爆炸,如果不能在压力下爆炸。爆炸产生的权力是普通烟花的很多次,而立即死亡则无法被估计。 干冰的使用无效 可能是致命的风险 爆炸 在密闭容器中使用干冰:干冰很容易在室温下转换为二氧化碳,导致气密容器的压力增加,这是一个D超过公差极限后发生爆炸。 △图像来源:广东的火灾保护 将干冰放在冰箱中:干冰温度约为-78.5℃,而冰箱冰箱温度在-4℃和-24℃之间。因此,将干冰放在冰箱中后,它将继续升华并产生大量二氧化碳气体,从而在冰箱内发生过多的压力和撞击。 △图像来源:广东的火灾保护 窒息 通过升华干冰产生的二氧化碳气体会给人类带来呼吸困难。如果它位于相对封闭的空间中,可能会在短时间内造成困难和危险的生活。 冻疮 干冰是固体二氧化碳,温度低于-78.5℃。直接皮肤接触立即消除热量,这很容易引起霜冻,甚至是皮肤的坏死,在严重的情况下,它会损害肌肉和骨骼。 收到了冷链包装 如何安全处理干冰? 不要让您的孩子触摸 父母应该将干冰放在他们的孩子没有因为“烟雾”而对孩子玩耍的好奇,并且显然告诉他们的孩子Na Dry Ice不是玩具。 否认狭窄的空间 请勿将干冰存储在密封的容器中,例如矿泉水瓶或冰箱中;干冰应放在整洁的地方。 请勿将干冰存储在汽车之类的狭窄空间中。 互动时佩戴保护 不要与干冰直接互动。为了防止霜冻,请使用防冻剂或夹子手套获得干冰。 受伤后立即寻求医疗 当人皮与干冰接触时,会发生露水加热的压缩性周围炎和冻伤乳霜进行治疗。如果霜冻是严重的,请按时寻求医疗。 当干冰吹伤时,请立即寻找医疗以防止治疗延迟。 资料来源:国家紧急情况播送 IPASA是提醒↓Agan